As dental professionals, we encounter a wide range of oral health conditions. Some, like cavities and gum disease, are quite common. But occasionally, we come across a less familiar phenomenon: hyperdontia, also known as supernumerary teeth. This condition refers to the presence of extra teeth beyond the typical number. While not as frequent as cavities, hyperdontia can impact both children and adults, and early diagnosis and treatment are crucial for maintaining good oral health.
This blog post aims to provide a comprehensive understanding of hyperdontia. We’ll explore the “what,” “why,” and “how” of this condition to equip you with the knowledge you need to navigate it effectively.
What is Hyperdontia?
The term “hyperdontia” is derived from the Greek words “hyper” (meaning “above” or “beyond”) and “odous” (meaning “tooth”). In simple terms, it refers to having more teeth than usual. A typical adult has 32 permanent teeth, while children have 20 primary (baby) teeth. Hyperdontia occurs when one or more extra teeth, known as supernumerary teeth, develop in the jawbone. These additional teeth may erupt (become visible) through the gums or remain impacted (hidden beneath the bone).
- There are two main classifications of hyperdontia: Non-syndromic Hyperdontia: This is the most common type, occurring independently of any other underlying genetic condition.
- Syndromic Hyperdontia: In this form, supernumerary teeth appear as part of a larger genetic syndrome.
Causes of Hyperdontia
The exact cause of hyperdontia remains a bit of a mystery. However, some potential factors are suspected to play a role.
The potential causes of hyperdontia include:
- Genetics: Research suggests a possible hereditary link, with a higher chance of developing hyperdontia if a close family member has it.
- Overactive Dental Lamina: The dental lamina is a band of tissue in the jawbone responsible for tooth development. Its overactivity may lead to the formation of extra tooth buds.
- Environmental Factors: While less conclusive, some studies suggest environmental factors might contribute, though more research is needed.
.jpg)
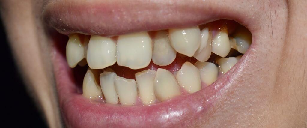
Types of Supernumerary Teeth
Supernumerary teeth come in various shapes and sizes, often categorized based on their location and appearance.
- Mesiodens: This is the most common type, appearing as a small, peg-shaped tooth positioned between the upper central incisors (front teeth).
- Paramolar: As the name suggests, these extra teeth show up near the premolars (between the canine and molars).
- Distodens: These additional teeth are located behind the wisdom teeth.
- Tuberculate: These supernumerary teeth have an irregular, bumpy surface and often erupt in unusual positions.
- Supplemental: These closely resemble normal teeth but may be smaller or misaligned.
X-rays and advanced imaging techniques, like 3D cone-beam CT scans, play an important role in identifying the type and location of supernumerary teeth, especially impacted ones hidden beneath the gum and bone.
Signs and Symptoms
Symptoms of hyperdontia vary depending on the location and type of the extra teeth.
Here are some common signs of hyperdontia to watch out for:
- Crowding of existing teeth: This is a frequent consequence, as the additional tooth disrupts the normal spacing of other teeth.
- Delayed eruption of permanent teeth: Supernumerary teeth can hinder the eruption of nearby permanent teeth, causing them to come in late or become impacted.
- Difficulty chewing or speaking: Depending on the location and size of the extra tooth, chewing and speaking may become challenging.
- Jaw pain or pressure: The presence of supernumerary teeth can put pressure on the jawbone, causing discomfort.
- Gum inflammation and infection: Extra teeth can create pockets where food particles can accumulate, increasing the risk of gum inflammation and infection.
- Cosmetic concerns: Supernumerary teeth can cause misalignment or crowding, impacting a person’s smile and confidence.
Diagnosis and Treatment
Early diagnosis of hyperdontia is crucial for optimal treatment outcomes. Regular dental checkups, including X-rays and potentially 3D imaging, are essential for identifying supernumerary teeth, even before they erupt.
Treatment options depend on the individual case and include:
- Monitoring: In some cases, particularly for asymptomatic supernumerary teeth, monitoring may be sufficient. However, regular dental follow-up is crucial.
- Extraction: This is the most common treatment, especially for impacted supernumerary teeth or those causing crowding, pain, or other issues. The extraction process is typically straightforward and can be performed by a dentist or oral surgeon depending on the complexity.
- Orthodontics: Braces or clear aligners can be a valuable tool in conjunction with extraction or on their own. Orthodontics help realign existing teeth and create space for proper eruption, especially when crowding is a concern.
- Surgery: In some complex cases, particularly with impacted supernumerary teeth requiring bone removal, surgical intervention by an oral surgeon might be necessary.
Following treatment, proper post-operative care, including pain management and good oral hygiene, is essential for optimal healing and recovery. While complications are rare, potential risks associated with treatment include infection, bleeding, and nerve damage. However, these can be minimized with proper technique and patient care.
.jpg)
Living with Hyperdontia
Hyperdontia, especially in children, can lead to emotional distress stemming from concerns about appearance or challenges with speech. However, it's important to recognize that hyperdontia is a manageable condition. Early diagnosis and appropriate treatment can help ensure good oral health and promote a confident smile. Open communication with your dentist is key to addressing any concerns and developing a personalized treatment plan.
Conclusion
Hyperdontia, though not as common as some other dental issues, is a condition that dental professionals encounter somewhat frequently. By understanding the causes, types, and treatment options, we can effectively manage this condition and ensure our patients maintain optimal oral health and a bright smile. Remember, regular dental checkups are key to early detection. If you have any concerns about supernumerary teeth, schedule an appointment with your dentist. We’re here to help you navigate the world of smiles, one tooth at a time, even if there might be a few extras!